色情漫画

主页

    色情漫画新闻

    主页 -> 色情漫画新闻 -> 正文

    王文教授、邱强教授团队在抗衰老领域的最新原创研究成果在《Nature Aging》期刊发表

    来源: 日期:2025-07-17点击:

    2025年7月14日,色情漫画 邱强教授,王文教授团队联合西京医院黄景辉教授团队在抗衰老领域的最新原创研究成果在《Nature Aging》期刊发表。该研究首次发现,鹿角芽基祖细胞(ABPCs)来源的细胞外囊泡(EVsABPCs)具有强大的抗衰老和组织再生能力,可有效逆转小鼠和恒河猴的骨质流失,并全面改善多器官衰老相关表型,为人类抗衰老干预提供了全新治疗策略及潜在的 “年轻化” 调控因子。

    衰老是指生物体随着时间推移,各项生理功能逐渐下降,适应性和抵抗力减弱的过程,其伴随着机体结构和功能的退化,以及生理和心理适应能力的下降。随着全球人口老龄化进程加速,衰老相关疾病已成为重大公共卫生挑战。因此,探索可延缓衰老进程、延长健康寿命的干预手段,是当前生命科学领域的重要研究方向。近年来,干细胞及其分泌的细胞外囊泡(EVs)因其临床应用潜力,成为抗衰老研究的热点。EVs 作为细胞间信号传递的关键载体,可通过转运蛋白质、核酸及脂质等生物活性分子,主动调控衰老相关的细胞生理过程。

    鹿角是哺乳动物中唯一具有周期性完全再生能力的器官,因其高效的生长特性与强大的组织修复潜能,成为研究再生和衰老的理想模型。研究团队此前已发现鹿角中存在一种独特的间充质干细胞——鹿角芽基祖细胞(ABPCs),其具有显著高于常规干细胞的自我更新能力与再生能力(Science,2023)。基于此,研究团队提出科学假设:ABPCs 来源的 EVs 可能蕴含独特的抗衰老活性物质,为抗衰老研究提供潜在的治疗载体。

    为验证上述假设,研究团队从 ABPCs 中纯化出细胞外囊泡(EVsABPCs),并与骨髓基质干细胞来源的外泌体(EVsBMSCs)进行系统性比较分析,结果显示,EVsABPCs中富集多种与细胞年轻化相关的功能性分子,其抗衰老活性显著优于 EVsBMSCs。进一步,我们发现EVsABPCs能有效“逆转”衰老的BMSCs,使其分子特征向年轻状态转变,显著提高细胞增殖能力和成骨分化潜能。

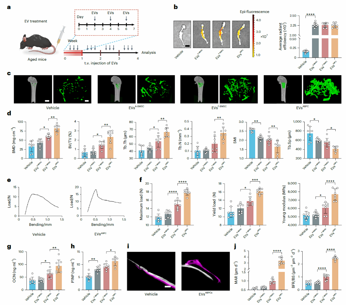
    在自然衰老小鼠模型中,经尾静脉注射 EVsBMSCs干预后,老年小鼠的股骨强度大幅提升,EVsABPCs还能全面改善老年小鼠的身体机能(运动协调性和抗疲劳能力)、认知功能,并显著降低全身炎症水平,保护肝脏、肾脏、皮肤、肠道和大脑等主要器官免受衰老影响。衰老时钟分析显示,干预后小鼠的生物学年龄平均“年轻”了约 3.54 个月。

    EVsABPCs治疗后小鼠骨骼强度大幅提升

    为评估其临床转化可行性,研究团队在老年恒河猴中进行了验证。结果显示,EVsABPCs干预可使恒河猴股骨及腰椎骨密度分别增加 1.53 倍和 1.63 倍,运动能力显著提升,脑皮层体积萎缩速率明显减缓。衰老时钟分析显示,恒河猴的生物学年龄平均“年轻”了约2.14年。

    EVsABPCs治疗后恒河猴骨密度显著提升

    EVsABPCs治疗后恒河猴运动能力显著提升

    该研究利用鹿角天然的再生生物学特性,为外泌体介导的抗衰老干预策略开辟了新的道路,尤其在逆转骨质流失和改善多器官衰老方面展现出巨大的临床转化价值。后续研究将聚焦于 EVsABPCs中关键 “年轻化” 效应分子的鉴定及其作用机制解析,为开发高效、安全的抗衰老疗法奠定基础,助力人类健康老龄化目标的实现。


    (图文:秦涛;审核:邱强)


    联系我们

    地址:西安市长安区东祥路1号 色情漫画 长安校区*色情漫画 B112
    邮编:710129

    版权所有 © 色情漫画-色情漫画大全|精品色情漫画全彩无遮拦在线   ICP备案号      陕ICP备05010979